
四川在线消息 “这个微创操作简直太快了,没想到这么轻松就解决了我的问题。”近日,罗江区人民医院一名63岁老年男性患者在CT引导下完成穿刺,既节约了患者的医疗费用,又减少了患者的痛苦。
患者此前因咳嗽、右侧胸痛及胸膜增厚在罗江区人民医院呼吸与危重症医学科住院治疗,为进一步明确诊断、改善症状,需行胸膜穿刺取活检术。为减少穿刺次数、节约患者诊疗费用,经呼吸与危重症医学科多名经验丰富的专科医师讨论后决定在CT引导下完成穿刺操作。
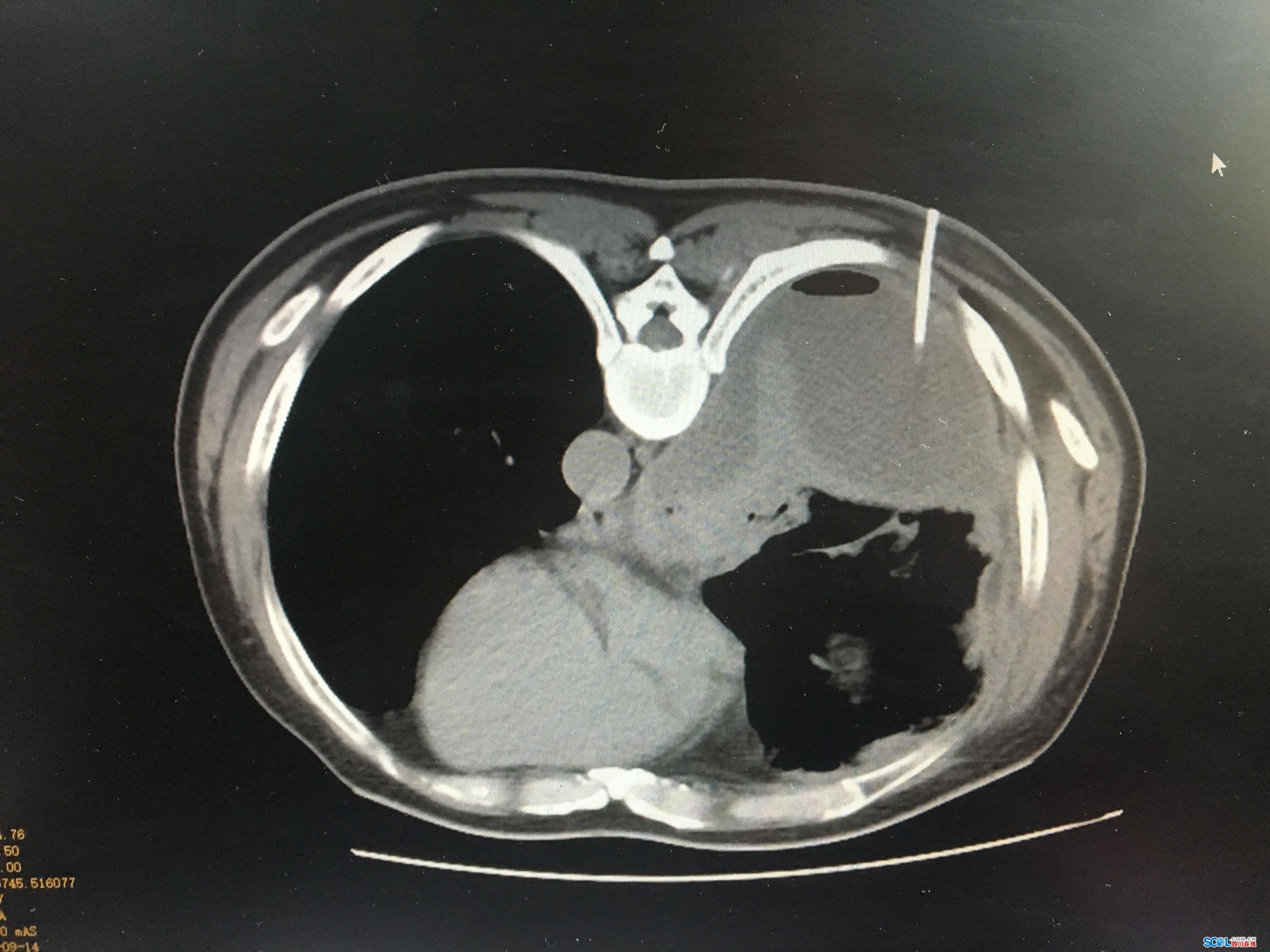
9月14日,呼吸与危重症医学科在CT引导下为该患者行胸膜穿刺术,顺利取出右侧增厚胸膜组织;抽出黄绿色黏稠带臭味的脓性胸腔积液;并安置了胸腔微创闭式引流管。此次操作为一次穿刺三项诊疗,谓之“一举三得”。整个过程不到20分钟,术中及术后患者无任何不适。目前患者已经引流出大量脓性胸腔积液,相关检查提示为感染性脓胸,经对症用药,现患者症状已明显减轻。(蔡维玲 张文莉)